Restorative Services
University Dental Group offers a variety of restorative services aimed toward bring life back to your smile.
Restore your smile's health and beauty with expert restorative services at University Dental Group. From one visit crowns to dentures, our skilled team offers personalized treatments to repair and rejuvenate your teeth.
-

CROWNS AND BRIDGES
A crown or “cap” is a dental restoration that replaces the chewing surface and covers the visible part of the tooth. There are many reasons why a tooth may need a crown. The most common ones are:
1. To restore a tooth which just had a root canal
2. To restore poorly shaped or discolored teeth
3. To restore a dental implant
4. To restore a fractured tooth
5. To protect a weak tooth from fracturing
6. When there’s not enough tooth structure remaining, it can be used to replace a large filling.
-

ONE VISIT CROWNS
Our office is equipped with CEREC technology for one-visit crowns and other porcelain restorations. CEREC stands for CERamic REConstruction. With this system the doctor takes digital impressions of your teeth with an intraoral camera. The images created are uploaded and CAD-CAM software is used to custom design one or more restorations for your tooth or teeth. The restorations are milled from specialized ceramic blocks in our office within minutes. These strong and beautiful crowns, inlays, onlays, and veneers are permanently placed during the same appointment. Our patients rave about this treatment because it allows them to avoid using temporary crowns and reduces the number of dental appointments.
-

FULL MOUTH REHABILITATION
In some cases teeth sustain significant damage due to dental decay, bone loss, acid erosion, teeth grinding, injury, or a combination of these. Patients who have these problems can suffer tremendously from an inability to eat, speak, and smile properly. They may also deal with chronic dental or TMJ pain, and loss of facial support. Our doctors can carefully rehabilitate the mouth over a series of appointments to create a pleasing smile, even bite, and a pain-free masticatory system.
-

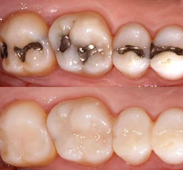
ALL WHITE COMPOSITE FILLINGS
In the past, metal restorations were stronger than cosmetic tooth-colored fillings. With advancements in adhesive dentistry white composite fillings are just as strong as metal, they are more conservative, more esthetic, and better for the environment. Composite or resin materials are currently the first choice for filling cavitated teeth and replace amalgam (silver) fillings. This process is often called “bonding” when restoring the chipped edges of teeth or discolored front teeth.
-

DENTURES
There are many types of dentures including full dentures, partial dentures, and implant-supported “overdentures”. Dentures are oftentimes the most economical way to replace many teeth at once with minimal time in the dental chair. Schedule a consult with our doctors to help determine which type of denture will be most appropriate for your needs!
